①含食醋

容易导致牙齿表面受酸蚀作用而发生脱矿

    ②涂柠檬汁

进食冷或热食时牙齿常感觉到酸软、疼痛

    ③美白牙膏

只限于牙齿表层清洁,对牙石不起任何作用

利用超声波产生的高频、振动,去除牙齿上的结石、烟渍和茶斑,是一种高效,卫生,方便的洁牙方法,在临床中得到广泛应用。

优点:不伤牙齿、成熟可靠、健齿除菌、方便快捷

使用特定的喷砂牙粉,通过喷砂机头喷向牙面来去除牙菌斑和色素,它可以全面完成消除牙齿上的细菌,同时也有抛光亮洁的作用。

优点:安全舒适、清洁、高效洁白、效果长久

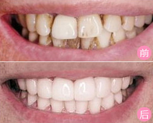
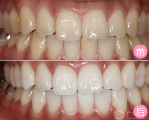
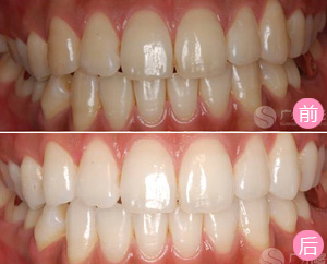
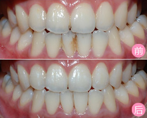
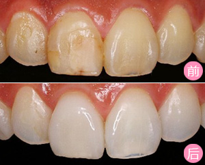
    案例展示