It's not difficult to recognize the orthodontics farewell crooked teeth
影响口腔健康
影响容貌外观
影响颌面生长
影响心理健康
What are the problems need to orthodontic teeth?
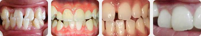
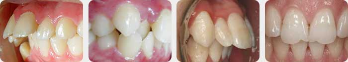
龅 牙
虎 牙
兔 牙
瓜子牙
牙列不齐
牙齿拥挤
牙间隙大
牙齿错位
Why choose DUJIANG
选择适合的矫正技术
面部美学矫正设计
不再担心暴露牙齿
结合美学面部比例让矫正后牙齿和脸型更协调
牙齿畸形,误了社交,没了恋情;矫正找回自信。
kb+ Five orthodontic technology choice suitable is better
Skilled in professional, meet the demand of different correct age
全景机牙
片拍摄
三维模拟
设计
佩戴牙套
定期复诊

许多成年人在生长期可能存在着牙齿畸形的问题但没有及时矫正,龋病、牙龈和牙周的不适症状的发病概率也比较高,身体健康受干扰,生活质量下降。
儿童牙齿矫正的较佳年龄为12-15岁。在这一阶段,身体正处于青春生长时期,牙齿修复能力较好,因此牙的移动效果显著,往往能起到事半功倍的效果。
牙齿不齐不是一个小问题,其危害甚至可能是比较大的,对牙齿咀嚼功能、口腔发音功能、面容美观等都是有影响的。牙齿整齐了,才能让笑容更加的灿烂迷人、更有感染力。