How important is teeth is beautiful or not on earth?

Teeth problems which need to aesthetic repair?
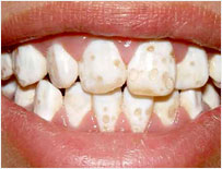
中、重度氟斑牙
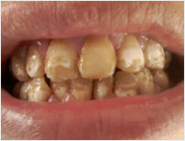
重度四环素牙
牙齿缺损
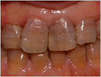
牙釉质生长不全
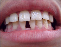
牙间隙
烤瓷牙失败
How to judge the tooth repair

Kang Beijia teeth cosmetic repair technology

外表美观全瓷仿真牙材料,完全媲美真牙
安全不刺激不刺激牙髓、无牙龈发黑红肿现象
适应症氟斑牙、老鼠牙、地包天、前牙拥挤、前牙稀疏、牙列不齐、 牙齿缺损、错过矫正黄金时期的成年人以及重度四环素牙等